美容師の40代女性が目標達成!ホームケアで白い歯へ
お客様情報
40代女性
美容師
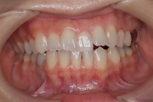
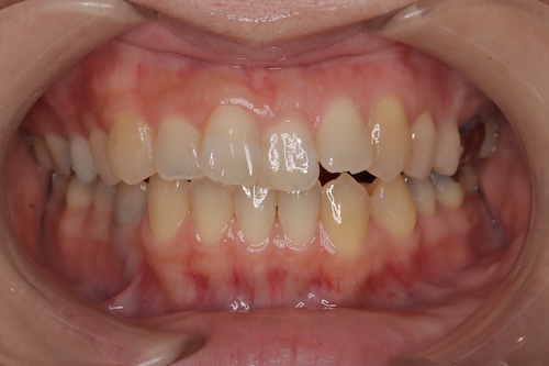
初診時シェード:右上1 D3、左下3 A4
目標シェード:030
施術内容
ナチュラル美白プラン(2ヶ月分)(税込¥124,300)
オフィスホワイトニング4回分
クリーニング(スタンダードケア)1回分
マウスピーストレー上下・付属品
ホームジェル5日分×12本
NBベリーホワイト1本
NBトゥースペースト1本
経過記録
- 施術前
- 施術後
初回
右上1:D3、左下3:A4
デュアルホワイトニングについて理解を得る
2回目
右上1:B2、左下3:A3
ホームホワイトニング10%を毎日1〜2時間実施
4回目(最終)
右上1:030、左下3:A1
ホームホワイトニング22%を毎日1〜2時間実施
上顎は目標シェード達成
下顎は目標未達のため、継続治療を提案
今後の管理計画
下顎の目標シェード達成に向けて継続治療を推奨
定期的なメンテナンス予定
治療のポイント
上顎での目標シェード達成(D3→030)
患者様の高いコンプライアンス(毎日のホームケア実施)
段階的な濃度調整(10%→22%)
下顎の追加治療必要性の説明と動機付け
日付:2025-1-30 カテゴリ: ホワイトニング症例
美意識高い男性のホワイトニング経過|最も明るい歯色を目指して
お客様情報 30代 男性 美意識が高いお客様 初診時シェード: ・右上1:A1 ・右上3:A3.5 目標シェード:010…

