「歯が黄色い」と言われた20代男性、3ヶ月で自然な白さを実現!
お客様情報
20代男性
ご友人から「歯が黄色い」と指摘され、ご来院。
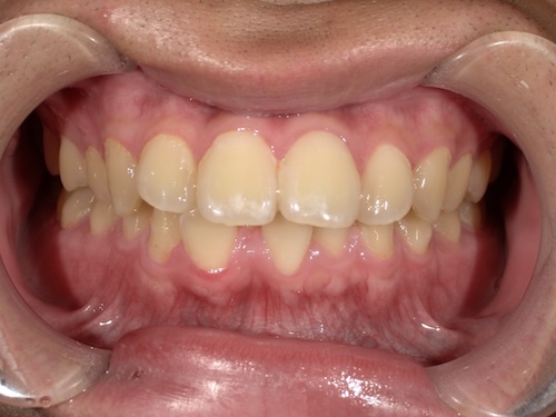
初診時シェード:右上1 B3、右下1 B4
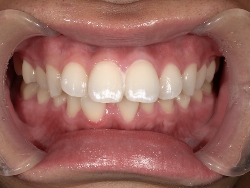
目標シェード:BL3
施術内容
パーフェクト美白プラン(3ヶ月分)(税込169,400円)
・オフィスホワイトニング6回
・クリーニング1回
・マウスピーストレー上下・付属品
・ホームジェル5日分×18本
・NBベリーホワイト1本
・NBトゥースペースト1本
シェードの変化
- 施術前
- 施術後
初診時シェード:右上1 B3、右下1 B4
2回目オフィスホワイトニング:
右上1 D4、右下1 A3
ホームホワイトニング10%を週3〜4回、1時間実施。
4回目オフィスホワイトニング:
右上1 BL4、右下1 A1
16%のジェルを週6回、30分ずつ使用。
6回目オフィスホワイトニング:
右上1 BL3、右下1 B1
22%のジェルを週5〜6回実施。
お客様の声・エピソード
ホームホワイトニングの継続に不安があったが、30分でOKと伝えたことで継続に成功。
若年層ということもあり反応が早く、短期間で理想の白さに到達。
プラークコントロールが不十分だったが、クラプロックスとフロスの併用で改善。
今後のケアについて
・定期的なメンテナンスをご提案予定
・歯頸部のケア強化に向けたセルフケアの継続指導
・タッチアップやクリーニングのタイミングをご案内
日付:2025-6-13 カテゴリ: ホワイトニング症例
初めてのホワイトニングで理想の白さへ|30代男性の変化と意識の変化
お客様情報 30代 男性 ホワイトニングは初めての経験。 将来の口元の印象や健康を意識し、「クリーニングとホワイトニング…

