50代女性が3ヶ月ホワイトニングでブリーチシェードまで上がった症例
来店の経緯
50代女性。ずっと黄ばみ気になっていた。
セルフホワイトニングを2回程トライしたが、満足いく結果得られず、医療ホワイトニングをしようと思った。
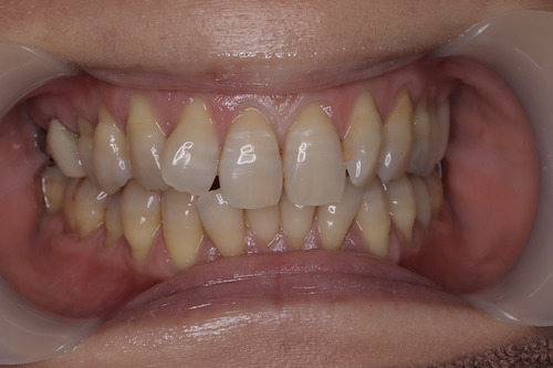
- 初診時
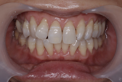
- 3ヶ月後
初診時の口腔内の状態
カリエスリスク
補綴物少なく、リスク低め。唾液もまぁまぁ出ている。
フロス習慣と操作方法は要確認必要。
ペリオリスク
若干の歯ぎしりと噛み締め癖ありそう。
歯茎の退縮とややクラック確認が出来る。
初回時のシェード
右下3番→C4
右上1番→C3
最終シェード
右下3番→030ブリーチシェード
右上1番→030ブリーチシェード
治療計画の内容
パーフェクト美白プラン(3ヶ月分)
(税込168,300円)
・オフィスホワイトニング6回分
・クリーニング
(スタンダードケア)1回分
・マウスピーストレー上下・付属品
・ホームジェル5日分×18本
・NBベリーホワイト1本
・NBトゥースペースト1本
嗜好品として、コーヒーと赤ワイン毎日摂取あり。NBトゥースペーストをしっかり使っていただきながら、白さの実現を図った。
全顎的な歯肉退縮とクラックによりホームホワイトニングで知覚過敏確認出来る事もあったが、NBトゥースペーストでパックすると改善。濃度は22%まで上げて終了。
ホームホワイトニングは、ライフスタイルへの取り入れ方がお上手で、基本的には朝の時間帯、毎日使用出来ていた。
現在ホームホワイトニングをメインとしてメンテナンス中。
酵素ドリンクで歯が着色し、黄ばみをオフィスホワイトニングした症例
40代 女性 主訴 黄ばみ 酵素のドリンクでかなり着色したと来院された。 #gallery-2 { …

