知覚過敏のある30代女性ホワイトニング症例
30代後半女性 去年約1年程ホワイトニング(3/w30分毎)と、オフィスホワイトニング2回、白さやや実感するものの、金額が高く続けられず当院来訪
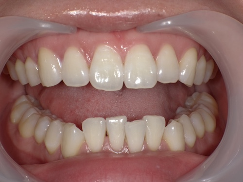
初回時のシェード
右下3番→B3
右上1番→D2
施術内容
パーフェクト美白プラン(3ヶ月)(税込168,300)
・オフィスホワイトニング6回分
・クリーニング(スタンダードケア1回分)
・マウスピーストレー上下・付属品
・ホームジェル5日分×18本
・NBベリーホワイト1本
・NBトゥースペースト1本
シェードの変化
- 施術前
- 施術後
初回時のシェード
右下3番→B3
右上1番→D2
10%毎日1.5〜2h
4回目のオフィスホワイトニング
右下3番→B1
右上1番→A1
16〜22%毎日1.5〜2h
最終シェード
右下3番→030
右上1番→030
22%毎日1h
コメント
歯ぎしりあり、当初知覚過敏もあったがトゥースペーストの対応で消失。
上顎はスムーズに明るくなるも、下顎のシェードアップ乏しい。
1/3wオフィスホワイトニングと、継続したホームホワイトニングでコース終盤上下色むらなく目標値の030到達。
口呼吸の傾向ありステインも前歯沈着しやすくスーパースマイル提案。
磨き心地など満足いただきながら、現在は、ゴースマイルと合わせてセルフケア。
歯周病リスクファクターをお話しながら、予防目的で継続的なクリーニング意欲も見られるように。
健康観のアップに成功。
シェードキープは、1/3Mオフィスホワイトニング&クリーニング、お家ではテープのほうがご自身のライフスタイルに合っているとの事で、テープ1/wで使用中。
日付:2024-1-30 カテゴリ: ホワイトニング症例
お仕事の忙しい20代女性不定期ながらもホワイトニングした症例
那覇のホワイトニング専門歯科医院 ホワイトニングサロンボーテ那覇のホワイトニング症例報告です。 20代女性 目標シェード…

