タバコ1日20本吸う20代男性クリーニングでステインを除去
20代男性喫煙6年 一日20本、クリーニング希望 ステイン除去希望
他のクリニックも見ていたがHP見てボーテが良さそうだなと感じた。
施術内容
スタンダードクリーニング希望
ベリーおすすめ購入
隣接ステインやプラークにフロアフロス指導
コメント
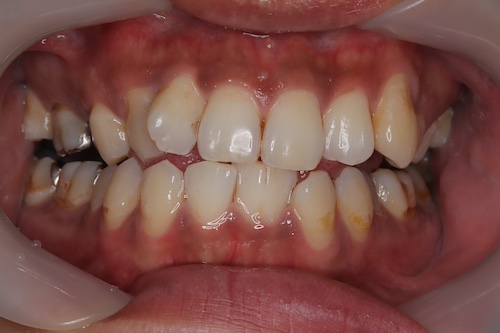
- 施術前
- 施術後
1回のクリーニングでのステイン除去、ビフォーアフター写真
一回でここまでステイン取れて嬉しそうにされていた。
ベリーとフロスをお勧めし、購入された。
定期的なクリーニングの必要性をつたえたが、一旦はこれで大丈夫と仰っていた。
喫煙があるのでまたステインつきやすくなると説明しベリー、フロスを毎日使用すること指導した。
日付:2024-2-2 カテゴリ: ホワイトニング症例
知覚過敏のある30代女性ホワイトニング症例
30代後半女性 去年約1年程ホワイトニング(3/w30分毎)と、オフィスホワイトニング2回、白さやや実感するものの、金額…
2ヶ月で白く!!10代の女性のホワイトニング
10代女性 成人式があるため白くしておきたい。喫煙者。歯茎から出血あり。 施術内容 ナチュラル美白プラン2ヶ月 税込12…

