2ヶ月で白く!!10代の女性のホワイトニング
10代女性 成人式があるため白くしておきたい。喫煙者。歯茎から出血あり。
施術内容
ナチュラル美白プラン2ヶ月 税込122,100円
・オフィスホワイトニング4回分
・スタンダードクリーニング1回分
・マウスピーストレー上下、付属品
・ホームジェル5日分×18本
・NBベリーホワイト1本
・NBトゥースペースト1本
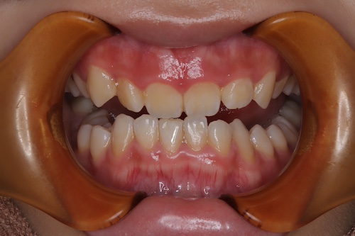
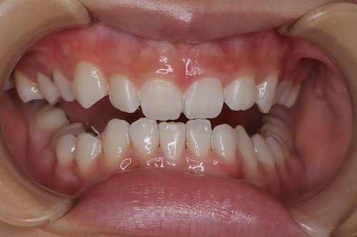
シェードの変化
- 施術前
- 施術後
初診シェード 右下1(D3)、右上3(A4)
目標シェード BL3〜2
1回目来院
カウンセリング、マウスピースの型取り。
2回目来院
ホームホワイトニングのセット、マウスピース取扱の説明。
口腔内不良、歯石着色あり。クリーニングで除去でき満足いただいた。
3回目来院 右下1(A2)、右下3(A3)
ホームホワイトニング10%で毎日2時間頑張ってきてくださり、オフィスホワイトニング後の色上がりが良く3〜4段階上がった。
4回目来院 右下1(A1)、右下3(A2)
体調不良でホームホワイトニング1週間できない日があったがそれ以外はほぼ毎日。オフィスホワイトニング後は3段階上がった。
5回目来院 右下1(B1)、右下(D2)
日中忙しいので就寝中にホームホワイトニングしている。週3で行った。
色上がりが停滞してきたのでホームジェルの濃度16%から22%に上げ、頻度を増やして様子みることに。
6回目来院 右下1(BL3)、右下(A1)
ホームホワイトニング週4で行った。オフィスホワイトニング後は2〜3段階上がった。
コメント
2ヶ月後までに急いで白くしたいというお客様の要望から最後までしっかりサポートさせていただいた。
途中から体調不良もありなかなかできなかった日々もあったが、後半頻度を増やしながら頑張っていただけたおかげで目標シェードまでもっていくことができた。
このまま綺麗な口腔内維持管理のために、今後もクリーニングやホワイトニングのメンテナンスを続けていただくことをお勧めさせていただいた。
日付:2024-2-8 カテゴリ: ホワイトニング症例
子育て中でもできるホワイトニング
30代女性初診時シェード右上1 C1 右上3 B4 目標シェードは030の歯の白さを希望 施術内容 パーフェクト美白プ…

