30代女性の色戻りのないホワイトニング症例
30代女性 オフィスホワイトニングは他院にて今年2回行った。
色戻りなくさらに白くしたいと来院された。
施術内容
ナチュラル美白プラン(2ヶ月分)(税込122,100円)
・オフィスホワイトニング4回分
・クリーニング(スタンダードケア)1回分
・マウスピーストレー上下・付属品
・ホームジェル5日分x12本
・NBベリーホワイト1本
・NBトゥースペースト1本
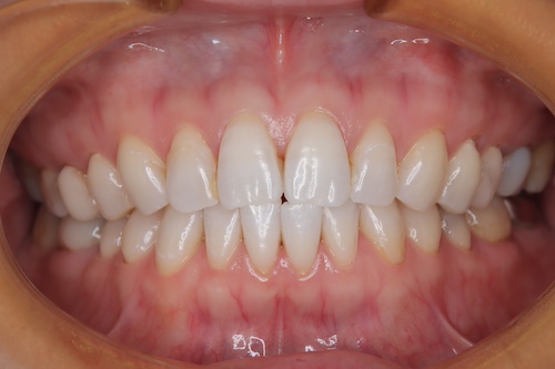
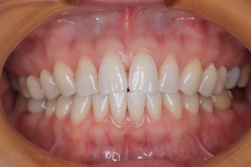
シェードの変化
- 施術前
- 施術後
初診時シェード 右上1 B2 右下3 A4
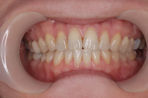
目標020
初回)オフィスホワイトニング 右上1 B1 右下3 A3.5
短期間で白くする効果的なホワイトニング頻度について説明
2回目)オフィスホワイトニング 右上1 040右下3 D3
2回目のオフィスホワイトニングまでに連続してホームホワイトニングを行っていた。
10%2本、16%2本。歯茎に少し痛みあり。
ジェルの量確認した。
3回目)オフィスホワイトニング 右上1 020 右下3 030
ホームホワイトニングのジェルの量適正にしたら痛み無くなった。
22%毎日使用していた。
4回目)オフィスホワイトニング 右上1 010右下3 020
ホームホワイトニング35%毎日使用。
プラスでマウスピースの取り扱い説明。
洗浄剤もしっかり毎日使っていただく。
コメント
色戻りしたくない、もっと白くしたいと意思のあるお客様。
連続してホームホワイトニングをする必要性、効果的なオフィスホワイトニングの頻度を理解されていて毎日コツコツと頑張っていらした。
毎回来院してシェードを見るたび色が白くなっているので嬉しいと喜ばれていました。
健康意識の高い方でもあり、定期的なクリーニングの必要性もお伝えし、3ヶ月に一度クリーニングとオフィスホワイトニングでメンテナンスしていくことに。
またホームケアはジェルが残っているので、メンテナンスで使っていただき、無くなり次第ホワイトニング剤の入っている歯磨き粉購入、またはホワイトニングペンでケアしていく。
日付:2024-3-15 カテゴリ: ホワイトニング症例
20代後半男性色戻りしにくいホワイトニング症例
20代後半男性 友人のInstagram見てボーテを知ったのが来院きっかけ。 色戻りのしにくいプランご希望で3ヶ月ご契約…

