1年ほどホームホワイトニングのセットをしていたが変わらなかった50代女性の症例
女性50代女性 美意識が高いお客様。
施術内容
パーフェクト美白プラン(3ヶ月分)(税込168,300円)
・オフィスホワイトニング6回分
・クリーニング
(スタンダードケア)1回分
・マウスピーストレー上下・付属品
・ホームジェル5日分×18本
・NBベリーホワイト1本
・NBトゥースペースト1本
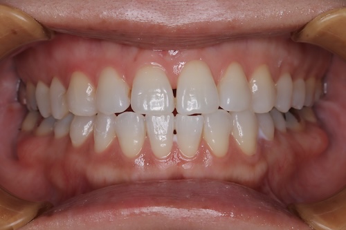
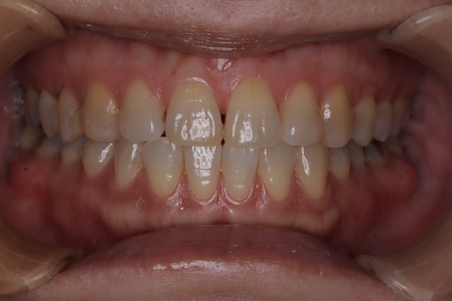
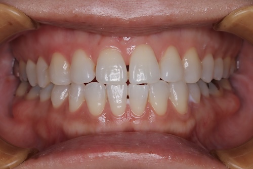
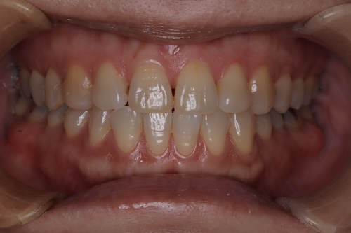
シェードの変化
- 施術前
- 施術後
初診時シェード 右上1 C2 右上3 A3.5
目標B1
4回目のオフィスホワイトニングでは、右上1 B1 右上3 A1
ホームホワイトニング10%毎日1時間以上を行っていた。
6回目のオフィスホワイトニング時には、右上1 030 右上3 040
ホームホワイトニング16%毎日30分〜1時間行っていた。
コメント
初診時、ネットでホームホワイトニングのセットを購入され週一回10分を約一年程使っているがなかなか効果がないと感じられていた。デュアルホワイトニングの重要性を理解し、3ヶ月頑張ると仰った。
毎日ホームホワイトニングされ、目標の色味まで到達したが、より上を目指したいと2.3週間のペースで来院。
施術中はイヤホンでラジオを聞いて時間を有効活用されていた。
日付:2024-9-19 カテゴリ: 研修レポート
30代女性の色戻りのないホワイトニング症例
30代女性 オフィスホワイトニングは他院にて今年2回行った。 色戻りなくさらに白くしたいと来院された。 施術内容 ナチュ…
テトラサイクリン歯による着色が見られる40代の女性
テトラサイクリン歯による着色が見られる40代の女性 施術内容 (旧)年間コース 税込195,250円 オフィスホワイトニ…

