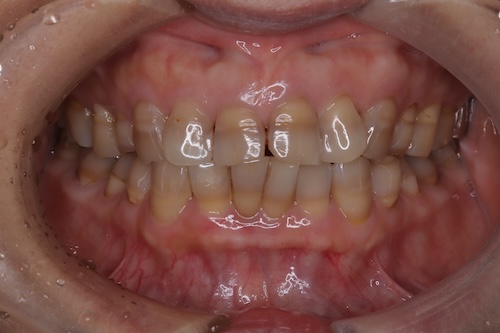
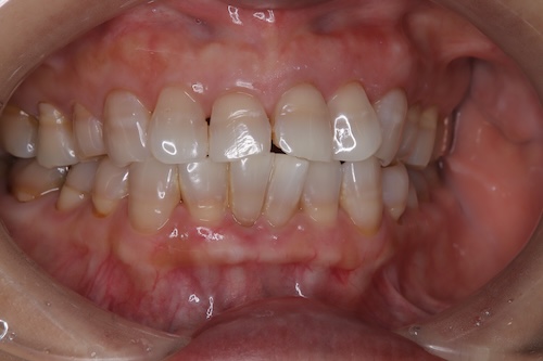
テトラサイクリン歯による着色が見られる40代の女性
テトラサイクリン歯による着色が見られる40代の女性
施術内容
(旧)年間コース 税込195,250円
オフィスホワイトニング9回
クリーニング4回
マウスピーストレー上下・付属品
ホームジェル5日分×12本
NBトゥースジェル1本
NBトゥースペースト1本
シェードの変化
- 施術前
- 施術後
1回目来店
メニュー ホームトレー型取り、ホワイトニング
2回目来店
メニュー クリーニング、マウスピースお渡し
プラークコントロールは良好。ホームホワイトニングは無理せず日中の2時間ほど続けていただく。
3回目来店
メニュー ホワイトニング
右上1 A3からD3
右下3 C2からC1
ホームホワイトニングは就寝時に行なっているが知覚過敏症状が出ている。
日中の2時間にしていただくよう指導。
4回目来店
メニュー ホワイトニング
右上1 C1からA2
右下3 A2からD2
知覚過敏が続いてるため、ホームホワイトニングの頻度が減っているが少しづつ白くなっている。
トゥースペーストをたっぷり使って頂き、パックも行なっていただくようお伝え。
5回目来店
メニュー ホワイトニング
右上1 A2からD2
右下3 D2からB2
オパールエッセンスのHG10%に変更して様子見る。
ホームホワイトニングの時間を短くしたら、知覚過敏和らいだ。
7回目来店
メニュー ホワイトニング、クリーニング
右上1 B2からA1
右下3 B2からA1
ホームホワイトニング週に2,3回程度。もう少し白くあげていきたいとのこと
8回目来店
メニュー ホワイトニング
右上1 A1からB1
右下3 A1からB1
シェード停滞気味なのでホームジェルの濃度を15%に上げる。
12回目来店
メニュー ホワイトニング
右上1 B1
右下3 B1
白さはご満足いただいている。知覚過敏が強いのでホームホワイトニングはお休み。
残りのホームホワイトニングのジェルを、オフィスホワイトニングに交換しました。
コメント
テトラサイクリン症例のため、あらかじめ、色の差は残ることや、真っ白にはならないことをお伝えし、完成のイメージに大きな差がないように、初診カウンセリング時に時間をかけて症例を用いてご説明することを心がけました。
テトラサイクリンの症例では、長期間に渡りホームホワイトニングが必要ですが、
早い段階で知覚過敏が出てしまったので、できるだけご負担ない方法やペースで継続することを大切に考えました。
日付:2024-10-15 カテゴリ: ホワイトニング症例
知覚過敏も無く安心してホワイトニングできた症例
40代後半女性 美意識の高い女性 ずっと前から気になっていたが、タイミングなく今に至る。 息子さんが社会人となり家を出ら…

