コンポレットレジンありのホワイトニング症例
30代女性
犬歯が濃く、色の差、コンポレットレジン1部あり、最終やりかえ必要か。
施術内容
旧3ヶ月コース+オフィスホワイトニング1回 税込147,400円
オフィスホワイトニング7回
クリーニング1回
マウスピーストレー上下・付属品
ホームジェル5日分×18本
歯磨剤1本
トゥースペースト1本
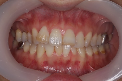
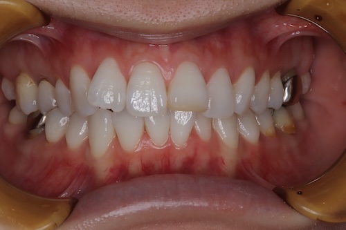
シェードの変化
- 施術前
- 施術後
初診時シェード
右上1 D2
左上3 A3.5
目標シェードBL3
犬歯が濃く、色の差あり。CR部あり、最終やりかえ必要か。
1回目来店
メニュー ホームトレー型取り
2回目来店
メニュー クリーニング、マウスピースお渡し、ホワイトニング
右上2のシェードが濃く気にされている。ホームホワイトニング続けて使用いただく。
3回目来店
メニュー ホワイトニング
右上1D2からB2
左上3 C2からA2
ホームホワイトニングはほぼ毎日。たまにしみるが続けられる程度。ステインつきやすい。
ホームジェルは16%に上げる。
4回目来店
メニュー ホワイトニング
右上1A1からB1
左上3 B2からA1
ホームホワイトニングは4日連続で休みながら使用。
ホームジェル16%で続ける。
5回目来店
メニュー ホワイトニング
右上1BL4からBL3
左上3 B1からBL4
ホームホワイトニング3日継続し2日休む頻度。トリートメントパックも行ってる。ホームジェルは22%に上げて様子見る
6回目来店
メニュー ホワイトニング
右上1 BL3キープ
左上3 B1キープ
シェード停滞。ホームジェル22% 知覚過敏出てきたが、休みながらこのまま使用できそうとのこと。
7回目来店
メニュー ホワイトニング
右上1 BL3
左上3 B1
オフィスでもきれいにトーンアップしている。歯頸部の黄ばみのこる。
8回目来店
メニュー ホワイトニング
右上1 BL3
左上3 BL4
歯頸部もきれいに上がってきた。次回までホームつづけていただきメンテへ移行。
9回目来店
メニュー ホワイトニング
右上1 BL3
左上3 BL4→BL3
白さ安定。メンテへ
コメント
ホームホワイトニングは途中知覚過敏がありながらも、継続いただき、歯頸部まできれいに白くなった。
ブリーチまで上げるには、濃度を高くする必要があるため、できるだけご負担なくホームが継続できる方法が重要になる。
着色がつきやすいためメンテナンスはクリーニングをこまめに入れながら、ホームケアではホワイトニング用のプロダクトでメンテナンスいただく。
日付:2024-11-22 カテゴリ: ホワイトニング症例
ホワイトニングを受けにきた30代歯科衛生士の症例
30代女性 歯科衛生士さんです PCは良好 施術内容 ナチュラル美白プラン(2ヶ月) (税込126200円) •オフィス…
18歳女性ホワイトニング症例
18歳女性 ご兄弟も18歳時点でホワイトニングに来店下っていて、保護者同伴でご了承の上、開始。 初診時シェード右下3 A…

