18歳女性ホワイトニング症例
18歳女性
ご兄弟も18歳時点でホワイトニングに来店下っていて、保護者同伴でご了承の上、開始。
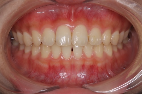
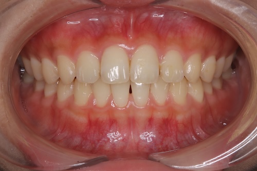
初診時シェード右下3 A3 右上C1
目標シェード030
施術内容
パーフェクト美白プラン(税込169,400)
オフィスホワイトニング6回
クリーニング一回
マウスピース上下
ホームジェル18本
ベリーホワイト
トゥースペースト
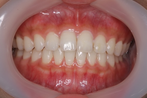
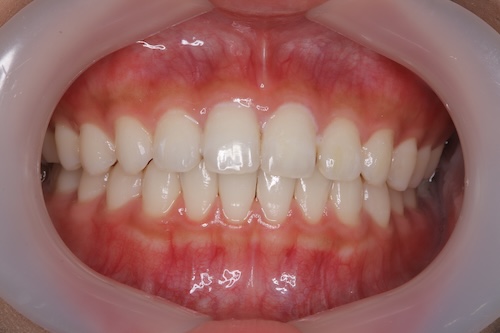
シェードの変化
- 施術前
- 施術後
1回目オフィスホワイトニング
2トーンアップ
ホーム10%ヒス無し
2回目16%希望18歳なので、しっかりNBトゥースペースト使用する約束で16%移行
右下3 C1 右上1 A2 色上がり良し
3回目
前歯分ヒスあり、
16%と10%両方お渡し、使い分けていただく。
色上がり良好
右下3 B2 右上1BL1
あと3回まだコース残っている途中経過
これからも経過しっかりみていく
コメント
初診時、黄色い歯がとにかく嫌で、早く来たいと思っておられた
兄2人も綺麗に白くなっていたので、ボーテでやる事も決めてきていただいていた
とても真面目に取り組んでおられて、ホームホワイトニングはほぼ毎日できていた
前歯部は下顎がヒスありなので、そこは10%、他は16%と工夫してやってくださる。
3回目の来院で、かなりいいとこまで上がっているので、これからもしっかりと経過みていきます。
日付:2024-12-14 カテゴリ: 研修レポート
コンポレットレジンありのホワイトニング症例
30代女性 犬歯が濃く、色の差、コンポレットレジン1部あり、最終やりかえ必要か。 施術内容 旧3ヶ月コース+オフィスホワ…

