矯正後の自然な白さへ|透明感を引き出す20代女性のホワイトニング症例
お客様情報
20代女性
裏側矯正後のホワイトニングを希望。
長年気になっていた歯の黄ばみを改善し、自然で透明感のある白さを目指して来院。
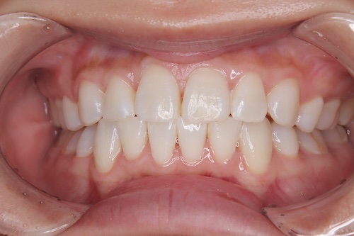
初診時シェード:
・右上1:A2
・右下3:A3
目標シェード:BL03
施術内容
ナチュラル美白プラン(2ヶ月分)(税込122,100円)
・スタンダードケア(クリーニング)1回
・NBトゥースペース1本(知覚過敏ケア)
経過記録
- 施術前
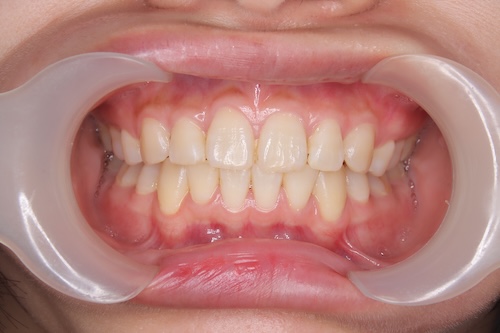
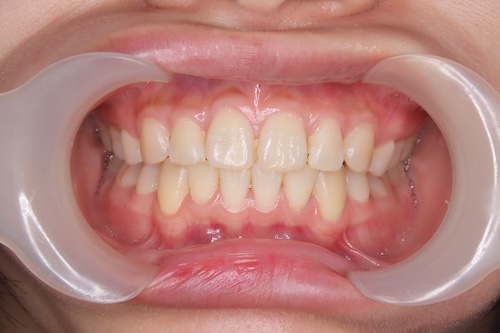
- 施術後
初回:スペシャルホワイトニング
・右上1:A1
・右下3:A2
3回目オフィスホワイトニング
・右上1:A1
・右下3:C1
・ホームホワイトニング(10%)毎日使用
・知覚過敏対策としてトゥースペース塗布
・右上1:BL04
・右下3:A1
5回目オフィスホワイトニング
・右上1:BL03
・右下3:D2
・ホームホワイトニング:10%(3日連続使用)
・下歯に知覚アレルギーリスクが発現
6回目オフィスホワイトニング
・右上1:BL03
・右下3:BL04
・ホームホワイトニング:知覚過敏のため一時中断し、使用時間を調整
7回目ホワイトニング
・右上1:BL03
・右下2:BL03
・ホームホワイトニング:休止中
治療の特徴
・初めてのホワイトニング施術であったため、刺激の少ない薬剤・方法を選択
・知覚過敏リスクに対して、NBトゥースペースを活用した丁寧なケアを実施
・段階的に濃度・施術間隔を調整しながら進めたことで、安心して継続できた
最終結果
・目標シェードBL03を達成
・知覚過敏はコントロール可能な範囲で管理
・ご本人も仕上がりに満足し、「鏡を見るのが楽しみになった」との声あり
アフターケア
・定期的なクリーニングとメンテナンスホワイトニングのご案内
・ホームケアとしてホワイトニングペンやプロホワイトニングジェルの使用を推奨
・咬耗による色戻りや知覚過敏の再発に注意し、状態に応じた対策を提案
日付:2025-4-11 カテゴリ: ホワイトニング症例
美意識高い男性のホワイトニング経過|最も明るい歯色を目指して
お客様情報 30代 男性 美意識が高いお客様 初診時シェード: ・右上1:A1 ・右上3:A3.5 目標シェード:010…
禁煙をきっかけにホワイトニング|20代男性の本気の美白プラン症例
お客様情報 20代 男性 美意識高め 禁煙をきっかけにホワイトニングを開始 初診時シェード: ・右上1:D4 ・右下…

