禁煙をきっかけにホワイトニング|20代男性の本気の美白プラン症例
お客様情報
20代 男性
美意識高め
禁煙をきっかけにホワイトニングを開始
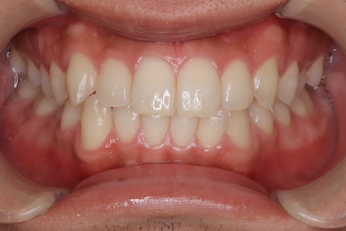
初診時シェード:
・右上1:D4
・右下3:B3
目標シェード:020
施術内容
パーフェクト美白プラン
・オフィスホワイトニング6回
・クリーニング
・マウスピーストレー上下、付属品
・ホームジェル5日分×18本
・NBベリーホワイト1本
・NBトゥースペースト
経過記録
- 施術前
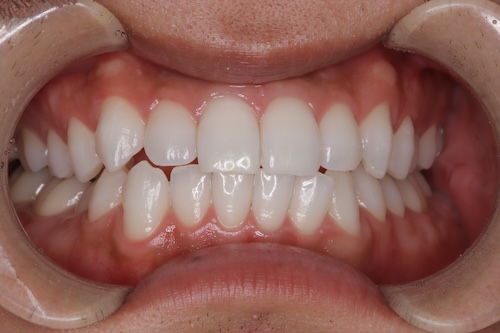
- 施術後
初回カウンセリング
・以前からホワイトニングを希望
・禁煙をきっかけに来院
・高い目標設定と即決
マウスピーストレー
・当初フィット感に問題あり
・再製作によりフィット感改善
・快適性向上でモチベーションアップ
4回目オフィスホワイトニング
・右上1:030
・右下3:040
・ホームホワイトニングを毎日実施
・周囲から変化を指摘され満足感向上
5回目オフィスホワイトニング
・右上1:030
・右下3:030
・目標シェード達成
治療の特徴
・マウスピースの調整が重要
・フィット感改善によるモチベーション向上
・禁煙と併せた口腔ケア意識の向上
最終結果
・目標シェード達成(5回目で完了)
・歯の質感も向上(つやつや)
・見た目の美しさに大変満足
アフターケア
・6回目のオフィスホワイトニングも予定通り実施
・継続的なケアを推奨
日付:2025-4-22 カテゴリ: ホワイトニング症例
矯正後の自然な白さへ|透明感を引き出す20代女性のホワイトニング症...
お客様情報 20代女性 裏側矯正後のホワイトニングを希望。 長年気になっていた歯の黄ばみを改善し、自然で透明感のある白さ…
初めてのホワイトニングで理想の白さへ|30代男性の変化と意識の変化
お客様情報 30代 男性 ホワイトニングは初めての経験。 将来の口元の印象や健康を意識し、「クリーニングとホワイトニング…

