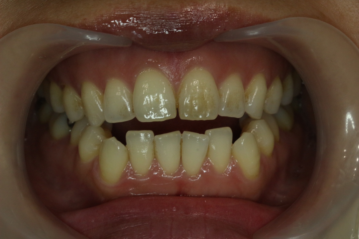
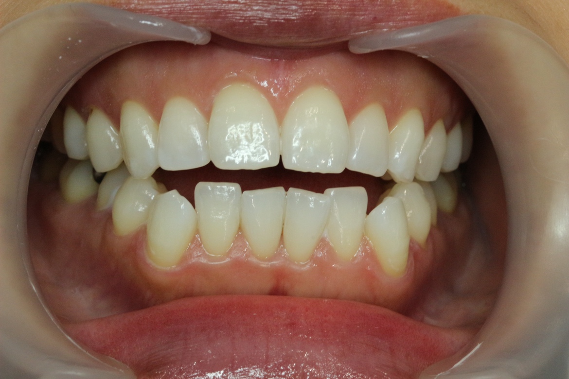
カレーライスの着色と歯の黄ばみを2ヶ月ホワイトニングで白くした症例
約2ヶ月通っていただき白くなりました〜🌼
- 初診時
- 2ヶ月後
初来店時はカレーライスがブームで、歯の色が黄ばみやステイン汚れがついてましたが、2ヶ月頑張って頂き歯は白く、トゥースペースともしっかり使って頂くことでステイン汚れもつきにくくなりました♡
プラン終了後は3〜4ヶ月ペースに、プロフェッショナルクリーニングを受けてくださってます♡
施術したホワイトニングメニュー
▽オフィスホワイトニング4回
▽プロフェッショナルクリーニング1回
▽ホームホワイトニング12本
▽毎日のホームケア
スーパースマイルミニ(歯磨き粉)
トゥースペースト(トリートメント)
ナチュラル美白プラン(税込122,100円)を受けて頂きました♡
日付:2023-6-30 カテゴリ: ホワイトニング症例
ホワイトニングサロンBeauteの新人育成とスタッフ研修について
沖縄のみなさんこんにちは。 ホワイトニングサロンBeaute(ボーテ)の井上です。 4月に新年度を迎え、国家試験に合格し…
冷たいものでしみる方でも問題なくオフィスホワイトニングできます
普段のうがいや冷たいものでもしみる方でしたがしみにくいようカバーし、オフィスホワイトニングすることでしみることなくできま…

