冷たいものでしみる方でも問題なくオフィスホワイトニングできます | ボーテ那覇 - ホワイトニングNEWS 冷たいものでしみる方でも問題なくオフィスホワイトニングできます | ホワイトニングサロンボーテ那覇
ホワイトニングサロン ボーテ那覇
Beaute 那覇 ホワイトニングNEWS

Beaute 那覇
ホワイトニングNEWS

ボーテの医療ホワイトニングで、
自信の持てる口元に。
実際の症例をぜひご覧ください。
那覇はもちろん、沖縄の皆さんに
お越しいただいています。

News@Beaute
ホワイトニング症例
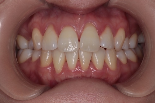
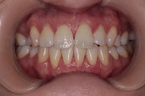
2023-7-1 記事著者: 歯科医師 関塚 知義

たいものでしみる方でも問題なくオフィスホワイトニングできます

普段のうがいや冷たいものでもしみる方でしたがしみにくいようカバーし、オフィスホワイトニングすることでしみることなくできました。

また、ホームホワイトニングトレーにトゥースペーストを歯に装着し、パックをすることで普段からのしみるのも減り、白くすることができました♡

3ヶ月通ってくださり白くなりました〜🌼

施術したホワイトニングメニュー

▽オフィスホワイトニング7回
▽プロフェッショナルクリーニング1回
▽ホームホワイトニング18本
▽毎日のホームケア
スーパースマイル(歯磨き粉)
トゥースペースト(トリートメント)
パーフェクト美白プラン(税込154,000円)を受けてくださいました♡

プラン終了後はオフィスホワイトニングの回数券を購入して頂き、月1ペースで来店してくださってます✨

記事著者: 歯科医師 関塚 知義
ホワイトニングサロンボーテ那覇
日付:2023-7-1 カテゴリ: ホワイトニング症例お役立ち情報
オフィスホワイトニング ホームホワイトニング ボーテ

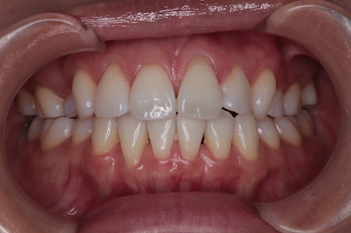
カレーライスの着色と歯の黄ばみを2ヶ月ホワイトニングで白くした症例

約2ヶ月通っていただき白くなりました〜🌼 #gallery-2 { margin:…

ホワイトニング オフィスホワイトニング ホームホワイトニング ボーテ

前歯の差し歯の色とマッチするようホワイトニングした症例

初めての来店時は前歯の被せ物(差し歯)の方が明るく少し違和感がありましたが、ホワイトニングで天然歯を明るくして差が減りま…

ホワイトニングサロン ボーテ那覇では、
「歯くしたい方」、「歯黄ばみが気になる方」、結婚式や就職活動など
大事なイベントを控えている方もお気軽にご相談ください。

ホワイトニングサロン ボーテ那覇

沖縄県那覇市おもろまち4丁目9番1号
4-9-1,Omoromachi,Naha city,Okinawa

ホワイトニングをご検討中の方へ

標準的な治療内容

アパタイト配合のホワイトニング剤とLEDライトを使用し、歯がしみるのを防ぎ、歯を強くしながら色素を分解して歯を白くします。

標準的な費用

ホワイトニングは自費診療です。

ボーテ式ホワイトニング 60分 15,400円(税込)
ホームホワイトニング 10日分 31,900円(税込)
起こり得る副作用
(リスク)
  • 個人差がありますが、施術中や施術後に歯がしみる場合があります。
  • 歯が重なっている箇所は光が届かないため、色ムラができる場合があります。