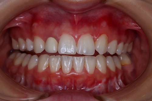
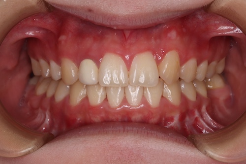
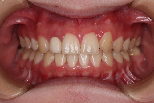
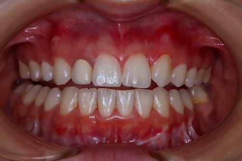
前歯の差し歯の色とマッチするようホワイトニングした症例
初めての来店時は前歯の被せ物(差し歯)の方が明るく少し違和感がありましたが、ホワイトニングで天然歯を明るくして差が減りました。
全体的に自然な明るさの綺麗さになりました♡
2〜3ヶ月通ってくださり、自然な白さに明るくなりました!
- 初診時
- 3ヶ月後
施術したホワイトニングメニュー
▽オフィスホワイトニング4回
▽プロフェッショナルクリーニング1回
▽ホームホワイトニング12本
▽毎日のホームケア
ベリーホワイト(歯磨き粉)
トゥースペースト(トリートメント)
ナチュラル美白プラン(税込122,100円)を受けてくださいました♡
冷たいものでしみる方でも問題なくオフィスホワイトニングできます
普段のうがいや冷たいものでもしみる方でしたがしみにくいようカバーし、オフィスホワイトニングすることでしみることなくできま…
歯のコンプレックスがホワイトニングで解消された症例
3ヶ月コースを受けて頂き、約3〜4ヶ月で白くなりました! #gallery-3 { margin:…

